Springe zum Hauptinhalt Springe zur Institut für Morphologie Navigation

Molekulare Biomarker des primären Osteosarkoms von Hund und Katze

Gefördert durch Fonds zur Förderung der wissenschaftlichen Forschung

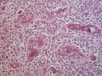
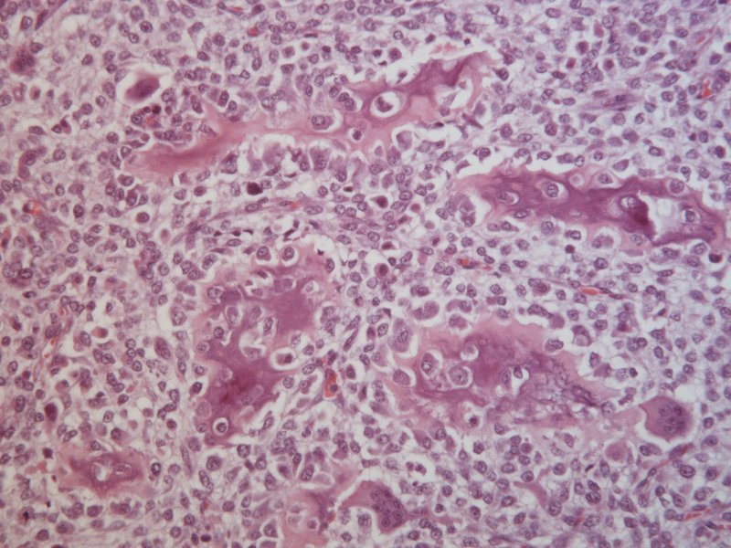
In der geplanten Studie werden die Tumorproben auf das Vorhandensein von Matrixmetalloproteinasen (MMPs), Ezrin, Wachstumshormon (GR) and Wachstumshormonrezeptor (GRR), Insulin-like Growth Factor (IGF), Insulin-like Growth Factor Binding Protein (IGFBP), Vascular Endothelial Growth Factors (VEGF), Platelet-derived Growth Factor (PDGF) sowohl auf Proteinebene mittels Immunhistochemie, Western Blotting und Zymographie und auf mRNA-Ebene untersucht. MicroRNA´s, die in der post-transkriptionalen Genexpression eine bedeutenden Rolle spielen, stehen im Verdacht bei iher Deregulierung auch in die Krebsentstehung involviert zu sein. Um ihre mögliche Rolle in der Entstehung des Osteosarkoms zu erforschen, haben wir geplant die mRNA und microRNA Profile von gesundem Knochengewebe und Tumorgewebe mittels "next generation sequencing" zu vergleichen. Darüberhinaus wird in dieser Studie das Proteinmuster der verschiedenen Tumoren, des gesunden Knochengewebes und der Osteosarkomzelllinien analysiert (MALDI-TOF). Wir hoffen durch Anwendung dieser Methoden Kandidatengene/Proteine die im Metastasierungsprozess eine Rolle spielen, zu identifizieren. Die Ergebnisse dieser Studie sollen dazu beitragen in der Zukunft den Patienten eine individuellere ("personalized medicine"), gezieltere Therapie anbieten zu können. Die VetBioBank, welche als "Core Facility" Einrichtung der Veterinärmedizinischen Universität dieser Studie zur Verfügung steht, ist mit der standardisierten Probensammlung und –archivierung befaßt. Durch die Lagerung von Formalin-fixierten Gewebeproben in Paraffinblöcken und Gewebeproben in flüssigem Stickstoff sind alle histologischen und molekularbiologischen Methoden anwendbar. Neben den Untersuchungen an Tumorproben von Patienten werden gleichzeitig dieselben Biomarker auch an gängigen Osteosarkom-Zelllinien untersucht. Diese Zelllinien werden häufig für experimentelle Anwendungen herangezogen, ein Vergleich iher Biomarker mit in vivo Osteosarkomzellen ist daher für deren Aussagekraft von großer Bedeutung. Das Osteosarkom des Hundes ist auch ein anerkanntes Modell für diese Erkrankung beim Menschen, die Ergebnisse dieser Studie sind also auch für die Humanmedizin interessant und können wichtige Informationen für diagnostische, prognostische und therapeutische Anwendungen in der klinischen Onkologie bringen.