Springe zum Hauptinhalt Springe zur Navigation

FFG Fetocart

Cartilage Regeneration- a biomimicry approach recapitulating fetal-like regeneration

About the Project:

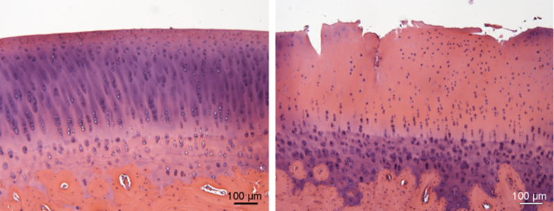
Adult injured cartilage cannot regenerate and thus cartilage injury frequently culminates in degenerative joint disease (osteoarthritis). Osteoarthritis (OA) is characterized by progressive articular cartilage degeneration and is  one of the most commonly diagnosed diseases in general practice and one of the leading causes of disability in the western world. Overall, 22.7% (52.5 million) adults in the United States and an estimated 30- 40 million Europeans suffer from arthritis. In addition to its significant medical, social and psychological impact on quality of life, OA is associated with extremely high socioeconomic costs. As currently no proven disease-modifying therapy capable of restoring damaged articular cartilage and function of the joint is available, the demand for novel, safe and effective treatments for OA patients is high.

Scientists of the Vetmeduni Vienna, University of Vienna, University of Natural Resources and Life Sciences Vienna, Igor GmbH and the Erasmus Medical Center (Rotterdam, The Netherlands) have joined forces in a research project funded by the Austrian Research Promotion Agency (FFG) to investigate new treatment options for osteoarthritis for veterinary and human patients. The international multidisciplinary team of veterinary and human doctors, biologists, chemists and physicists aims to induce fetal-like regeneration in adult injured cartilage by mimicking fetal regenerative cues in the adult environment. 

Project Duration: 01.01.2017-31.12.2019

Project Team

Key research areas of scientific partners

Expertise Vetmeduni

Veterinary medicine serves as the natural interface between basic science and clinical applications. The Vetmeduni will contribute veterinary expertise, the pathophysiology of the disease and patient needs. As a future perspective, the Vetmeduni will also facilitate translation into clinical application.

Expertise Erasmus MC, Connective Tissue Cells and Repair group (EMC)

The research group of Prof. Gerjo van Osch has 25 years of experience with translational research on osteoarthritis and cartilage tissue engineering. The group has experience with culture of several cell types (such as articular chondrocytes, auricular and nasal septum chondrocytes as well as MSC from bone marrow and adipose tissue) and studies on the effect of growth factors and cytokines on cell biological level. 

Expertise University Vienna, Department of Analytical Chemistry (Uni Vienna)

The main expertise lies in the analysis of complex biological samples based on highly specialized sample preparation techniques, various separation methodologies, modern mass spectrometry and the application of bioinformatics tools. Proteome profiling of cells, tissues, secretomes and blood plasma and serum samples has been established for many years. The research focus on inflammation and cell-cell interactions will be beneficial for interpretation of the data.

Expertise University of Natural Resources and Life Sciences, Institute of Biotechnology (Boku University Vienna) Dr Kreil has established a highly productive interdisciplinary research group studying complex systems in the life sciences. Augmenting the classical gene-by-gene approaches to overcome the engineered redundancies and combinatorial effects prevalent in higher eukaryotes, he combines work to establish improved quantitative experimental assays (microarrays, RNA-Seq, DiGE …) with the development of computational methods, such as hierarchical probabilistic models and the integration of heterogeneous data sources.

IGOR - Institut für Gewebe- und Organrekonstruktion GesmbH (Institute for Tissue- and Organ Reconstruction Company Ltd.)

IGOR is the company partner on the project. IGOR provides tissue engineered products manufactured in a cleanroom cell laboratory under GMP conditions and is GMP-certified for the production of human pharmaceuticals including biologicals and clinical investigational products for clinical trials phase I-IV. In addition, IOGR is the only company in Austria providing clinically applicable cell-based therapies for humans. IGOR´s product portfolio encompasses matrix-based autologous chondrocyte transplantation (MACT) for regeneration of articular cartilage defects, defects of the nasal septum and large defects of the skull (MACT supplemented with bone meal). IGOR produces about 100 chondrocyte transplants per year for personalized human clinical application.

IGOR started as a cell culture lab that conformed to standards for the production of pharmaceuticals and in 2001 the efforts culminated in a federal certificate for the production of pharmaceuticals. In 2006 the company started to run a tissue bank. After implementation of the tissue safety law, IGOR was certified as a tissue procurement tissue bank and for GMP processing of human cells and cell products. As a result, products for all phases of clinical trials and for clinical applications may be produced.

Progress of the Project:

Publication of first results in the Journal of “Disease Models & Mechanisms”: Fetal articular cartilage regeneration versus adult fibrocartilaginous repair: secretome proteomics unravels molecular mechanisms in an ovine model.

Abstract accepted for Oral presentation at TERMIS (tissue engineering and regenerative medicine international society) World Conference, September 4th-7th in Kyoto: Fetal articular cartilage regeneration versus adult fibrocartilaginous repair – the key to cartilage regeneration?

Abstract accepted for Oral presentation at TERMIS (tissue engineering and regenerative medicine international society) World Conference, September 4th-7th in Kyoto: Comprehensive assessment of inflammatory proteins expressed by primary peripheral blood mononuclear cells - a comparison of the inflammatory reaction of sheep, horses and humans.