Springe zum Hauptinhalt Springe zur Institut für Morphologie Navigation

Die Arbeitsgruppe "Histologie und Embryologie" vertritt jenen Forschungs- und Lehrbereich an der Veterinärmedizinischen Universität Wien, der sich mit der mikroskopischen Morphologie und der Entwicklung verschiedener Tierarten beschäftigt.

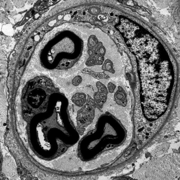
Unter Morphologie versteht man die Lehre über Form und Struktur von Organismen. Mit Hilfe spezieller Präparationsmethoden können die zellulären Bestandteile der unterschiedlichen Gewebetypen unter dem Mikroskop sichtbar gemacht und erforscht werden. Um das Verhalten von Zellen unter experimentellen Bedingungen zu testen und die Funktion bestimmter Moleküle genauer definieren zu können, bedienen wir uns einer Vielzahl von etablierten Zellkultursystemen. Neben herkömmlichen zweidimensionalen Zellkulturen wurden an unserem Institut verschiedene Modelle von dreidimensionalen Zellkultursystemen entwickelt, die die natürliche Umgebung der Zellen simulieren und somit „lebensnahe“ Bedingung im Labor nachstellen.         

Die Methoden, die von unserer Arbeitsgruppe angewandt und gelehrt werden, spannen einen Bogen von der Licht- über die Elektronenmikroskopie bis hin zur Molekularbiologie. Neben den qualitativ, beschreibenden Methoden ist auch die quantitative Morphologie vertreten.

Im "Leitbild" finden Sie eine Beschreibung unserer Aufgaben, die wir (siehe "<link de histologie ueber-uns mitarbeiterinnen>MitarbeiterInnenverzeichnis") erfüllen. Ebenso erfahren Sie auf diesen Seiten die Kontaktmöglichkeiten zu den Mitarbeitern, die Ihre geschätzten Anfragen gerne beantworten.